Ultrasound-Guided Wrist Block
![]()
Figure 1: Ultrasound-guided wrist block. Transducer and needle positions for (A) Median nerve block, (B) Ulnar nerve block, (C) Radial nerve block. Essentials
General Considerations The wrist block is an effective method to provide anesthesia of the hand and fingers without the arm immobility that occurs with more proximal brachial plexus blocks. Traditional wrist block technique involves advancing needles using surface landmarks toward the three nerves that supply the hand, namely the median, ulnar, and radial nerves. The ultrasound-guided approach has the advantage of direct visualization of the needle and target nerve, which may decrease the incidence of needle-related trauma. In addition, because the needle can be placed with precision immediately adjacent to the nerve, smaller volumes of local anesthetic are required for successful blockade than with a blind technique. Since the nerves are located relatively close to the surface, this is a technically easy block to perform, but knowledge of the anatomy of the soft tissues of the wrist is essential for successful blockade with minimum patient discomfort. Ultrasound Anatomy Three individual nerves are involved:
Figure 2: (A) Ultrasound-guided block of the median nerve at the wrist. (B) Cross-sectional anatomy of the median nerve (MN) at the wrist. Median Nerve The median nerve crosses the elbow medial to the brachial artery and courses toward the wrist deep to the flexor digitorum superficialis in the center of the forearm. As the muscles taper toward tendons near the wrist, the nerve assumes an increasingly superficial position until it is located beneath the flexor retinaculum in the carpal tunnel with the tendons of flexor digitorum profundus, flexor digitorum superficialis, and flexor pollicis longus. A linear transducer placed transversely at the level of the wrist crease will reveal a cluster of oval hyperechoic structures, one of which is the median nerve (Figures 2A and B and 3A and B). At this location it is easy to confuse the tendons for the nerve, and vice versa; for this reason, it is recommended that the practitioner slides the transducer 5 to 10 cm up the volar side of the forearm, leaving the tendons more distally to confirm the location of the nerve. The tendons will have disappeared on the image, leaving just muscle and the solitary median nerve, which then can be carefully traced back to the wrist, if desired. In many instances, however, it is much simpler to perform a medianus block at the midforearm, where the nerve is easier to recognize.
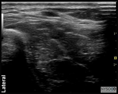
Ulnar Nerve The ulnar nerve is located medial (ulnar side) to the ulnar artery from the level of the midforearm to the wrist. This provides a useful landmark. A linear transducer placed at the level of the wrist crease will show the hyperechoic anterior surface of the ulna with shadowing behind; just lateral to the bone and very superficial will be the triangular or oval hyperechoic ulnar nerve, with the pulsating ulnar artery immediately next to it (Figures 4A and B and 5A and B). Unlike the median nerve, there are fewer structures (tendons) in the immediate vicinity that can confuse identification; however, the same confirmation scanning technique can be applied. Sliding the transducer up and down the arm helps verify that the structure is the ulnar nerve by following the course of the ulnar artery and looking for the nerve on its ulnar side.
Radial Nerve The superficial branch of the radial nerve divides into terminal branches at the level of the wrist; for this reason, ultrasonography is not very useful for guidance for placement of the block at the level of the wrist. A subcutaneous field block around the area of the styloid process of the radius remains an easy method to perform an effective radial nerve block at the level of the wrist. However, ultrasonography can be used at the elbow level or in the midforearm. At the level of the elbow (slightly below the elbow), the nerve is easily identified as a hyperechoic oval or triangular structure in the layer between the brachialis (deep) and brachioradialis (superficial) muscles lateral to the radial artery (Figures 6A and B and 7A and B). Distribution of Blockade A wrist block results in anesthesia of the entire hand. Equipment Equipment needed includes the following:
Figure 5: (A) Sonoanatomy of the ulnar nerve (UN) at the wrist. US, ulnar artery. (B) Needle path to reach the UN at the wrist and approximate spread of the local anesthetic (area shaded in blue) to anesthetize the UN.
Figure 6: (A) Block of the radial nerve (RN) at the wrist. Transducer and needle position. (B) Cross-sectional anatomy of the RN at the wrist level. Superficial branches of the radial nerve are highly variable at this level in number, size, and depth. For that reason, block of the RN at the wrist is not an exact technique but rather infiltration of the local anesthetic in the subcutaneous tissue and underneath the superficial fascia.
Figure 7: (A) Sonoanatomy of the radial nerve (RN) at the level of the wrist. (B) One branch of the RN at the wrist is shown lateral to the radial artery (RA), and the approximate needle path to reach a branch of the radial nerve is shown with an approximate spread of local anesthetic (area shaded in blue) to anesthetize it. Landmarks and Patient Positioning The wrist block is most easily performed with the patient in the supine position to allow for the volar surface of the wrist to be exposed. It is useful to remove splints and/or bandages on the hand to facilitate placement of the transducer and sterile preparation of the skin surface.
Technique With the arm in the proper position, the skin is disinfected. The wrist is a "tightly packed" area that is bounded on three sides by bones. For this reason, an ultrasound-guided "wrist" block is often performed 5 to 10 cm proximal to the wrist crease where there is more room to maneuver. For each of the blocks, the needle can be inserted either in-plane or out-of-plane. Ergonomics often dictates which of these is most effective. Care must be taken when performing the ulnar and radial nerve blocks since the nerves are intimately associated with arteries. Inadvertent arterial puncture can lead to a hematoma. Successful block is predicted by the spread of local anesthetic immediately adjacent to the nerve. Multiple injections to achieve circumferential spread are usually not necessary because these nerves are small and the local anesthetic diffuses quickly into the neural tissue due to the lack of thick epineural tissues. Assuming deposition immediately adjacent to the nerve, 3 to 4 mL/nerve of local anesthetic is sufficient to ensure an effective block.
|
| 02/20/2016(+ 2016 Dates) | |
| 03/17/2016 | |
| 03/23/2016 (+ 2016 Dates) | |
| 04/20/2016 | |
| 09/23/2016 | |
| 10/01/2024 |


A
B










Post your comment