Ultrasound-Guided Ankle Block
Figure 1: Block of the posterior tibial nerve using an out-of-plane technique. Essentials
![]() Figure 2: Cross-sectional anatomy of the posterior tibial nerve at the level of the ankle. Shown are posterior tibial artery (PTA) and vein (PTV) behind the medial malleolus (Med. Mall.) The posterior tibial nerve (PTN) is just posterior and superficial to the posterior tibial vessels. General Considerations Using an ultrasound-guided technique affords a practitioner the ability to reduce the volume of local anesthetic required for ankle blockade. Because the nerves involved are located relatively close to the surface, ankle blocks are easy to perform technically; however, knowledge of the anatomy of the ankle is essential to ensure success. Ultrasound Anatomy Ankle block involves anesthetizing five separate nerves: 2 deep nerves and 3 superficial nerves. The 2 deep nerves are tibial (TN) and deep peroneal nerve (DPN). The superficial nerves are superficial peroneal, sural and saphenous. All nerves except saphenous nerve are terminal branches of the sciatic nerve; saphenous nerve is a cutaneous extension of the femoral nerve. Tibial Nerve The tibial nerve is the largest of the five nerves at the ankle level and provides innervation to the heel and sole of the foot. With a linear transducer placed transversely at (or just proximal to) the level of the medial malleolus, the nerve can be seen immediately posterior to the posterior tibial artery (Figures 1, 2, and 3A and B). Color Doppler can be very useful in depicting the posterior tibial artery when it is not readily apparent. The nerve typically appears hyperechoic with dark stippling. A useful mnemonic for the relevant structures in the vicinity is Tom, Dick ANd Harry, which refers to, from anterior to posterior, the tibialis anterior tendon, flexor digitorum longus tendon, artery/nerve/ vein, and flexor hallucis longus tendon. These tendons can resemble the nerve in appearance, which can be confusing. The nerve's intimate relationship with the artery should be kept in mind to avoid misidentification.
Figure 3: (A) Ultrasound image of the posterior tibial nerve. (B) Posterior tibial nerve (PTN) is seen posterior to the posterior tibial artery (PTA). Med. Mall., medial malleolus; PTV, posterior tibial vein. Deep Peroneal Nerve This branch of the common peroneal nerve innervates the web space between the first and second toes. As it approaches the ankle, the nerve crosses the anterior tibial artery from a medial to lateral position. A transducer placed in the transverse orientation at the level of the extensor retinaculum will show the nerve lying immediately lateral to the artery, on the surface of the tibia (Figures 4, 5, and 6A, B). The nerve usually appears hyperechoic, but it is small and often difficult to distinguish from the surrounding tissue.
Figure 6: (A) Ultrasound image of the deep peroneal nerve (DPN) is seen at the surface of the tibia just lateral to the anterior tibial artery (ATA). (B) Ultrasound anatomy of the DPN at the level of the ankle with the structures labeled.
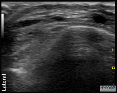
Figure 7:Transducer position and needle insertion to block the superficial peroneal nerve. ![]() Figure 8: Cross-sectional anatomy of the superficial peroneal nerve (SPN). EDL, extensor digitorum longus muscle; PBM, peroneus brevis muscle. Superficial Peroneal Nerve The superficial peroneal nerve innervates the dorsum of the foot. It emerges to lie superficial to the fascia 10 to 20 cm above the ankle joint on the anterolateral surface of the leg. A transducer placed transversely on the leg, approximately 5 cm proximal and anterior to the lateral malleolus, will identify the hyperechoic nerve lying in the subcutaneous tissue immediately superficial to the fascia (Figures 7, 8, and 9A and B). If the nerve is not readily apparent, the transducer can be traced proximally on the leg until, at the lateral aspect, the extensor digitorum longus and peroneus longus muscles can be seen with a prominent groove between them leading to the fibula (Figure 10A and B). The superficial peroneal nerve is located in this intermuscular septum, just deep to the fascia. Once it is identified at this more proximal location, it can be traced distally to the ankle. Because the superficial nerves are rather small, their identification with ultrasound is not always possible in a busy clinical environment. Sural Nerve The sural nerve innervates the lateral margin of the foot and ankle. Proximal to the lateral malleolus, the sural nerve can be visualized as a small hyperechoic structure that is intimately associated with the small saphenous vein (Figures 11, 12, and 13A, B). A calf tourniquet can be used to increase the size of the vein, aiding in identification of the nerve. Saphenous Nerve The saphenous nerve innervates the medial malleolus and a variable portion of the medial aspect of the leg below the knee. The nerve travels down the medial leg alongside the saphenous vein. Because it is a small nerve, it is best visualized 10-15 cm proximal to the medial malleolus, using the saphenous vein as a landmark (Figures 14, 15, and 16A, B). A proximal calf tourniquet can be used to assist in increasing the size of the vein. The nerve appears as a small hyperechoic structure.
Figure 9: (A) Ultrasound anatomy of the superficial peroneal nerve (SPN). (B) Ultrasound anatomy of the superficial peroneal nerve with structures labeled. PBM, peroneus brevis muscle.
Figure 10: (A) Ultrasound anatomy of the superficial peroneal nerve. (B) Ultrasound anatomy of the nerve with structures labeled. EDL, extensor digitorum longus muscle; PBM, peroneus brevis muscle; SPN, superficial peroneal nerve.
Distribution of Blockade An ankle block results in anesthesia of the entire foot.
Figure 13: (A) Ultrasound anatomy of the sural nerve (SuN). The SuN is seen immediately anterior to the small saphenous vein (SSV). (B) The ultrasound anatomy of the SuN with the structures labeled. SoM, soleus muscle. ![]() Figure 14: Transducer position and needle position to block the saphenous nerve. Equipment Equipment needed includes the following:
![]() Figure 15: Cross-sectional anatomy of the saphenous nerve (SaN) at the level of the ankle. Landmarks and Patient Positioning The block is usually performed with the patient in the supine position. A footrest underneath the calf facilitates access to the ankle, especially for the tibial and sural nerve blocks. An assistant is helpful to maintain internal or external rotation of the leg, as needed. Technique With the patient in the proper position, the skin is disin- fected. For each of the blocks, the needle can be inserted either in-plane or out-of-plane. Ergonomics often dictates which of these is the most effective. Successful block is predicted by the spread of local anesthetic immediately adjacent to the nerve; redirection to achieve circumferential spread is not necessary because these nerves are small and the local anesthetic diffuses quickly into the neural tissue. Assuming deposition immediately adjacent to the nerve, 3 to 5 mL of local anesthetic per nerve is typically required to ensure an effective block.
Figure 16: (A) Ultrasound anatomy of the saphenous nerve (SaN) at the level of the ankle. The SaN is seen just anterior to the small saphenous vein (SaV). (B) Ultraound anatomy of the saphenous nerve with the structures labeled. ![]() |
| 02/20/2016(+ 2016 Dates) | |
| 03/17/2016 | |
| 03/23/2016 (+ 2016 Dates) | |
| 04/20/2016 | |
| 09/23/2016 | |
| 10/01/2024 |


A
B

A
B







A
B




Post your comment